Stepping Into Better Health—Overcoming Hallux Limitus
Originally Published in Race Play Michiana August-September 2016
Distance running has a way of revealing biomechanical abnormalities — many times in ways we would never expect. In my first year of medical school, I began to see the advantages of improving my cardiovascular fitness and took up running to this end. It didn’t take long to realize the need for appropriate shoes, a better diet, and knowing how to dress for the weather in the varying climate of central Iowa. With my first half-marathon only weeks away, however, I began to hear a click coming from the base of my great toe, accompanied by a “full feeling” around the joint. Remarkably, my foot looked quite ordinary from the outside, with no swelling or redness. I purchased some over-the-counter inserts and ran the half marathon with no difficulty. Soon after that, however, the whole feeling became a dull ache…intermittent at first, then all the time.
What is hallux limitus?
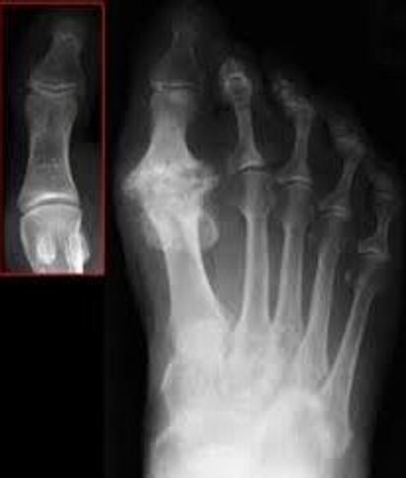
Hallux (great toe) limitus (diminished motion) is a condition in which the great toe cannot move through a normal range of motion during normal ambulation. Normal gait requires 65 to 75 degrees of dorsiflexion (ability to bend upward) at the base of the great toe. Any impairment in the fluid motion of this joint can be considered arthritis (“arthro” meaning joint and “itis” meaning inflammation). The name of this particular joint is called Hallux limitus. This progressive condition can eventually lead to losing all motion (Hallux rigidus) at the base of the great toe. The x‑ray image below compares a normal great toe joint with the full progression of the arthritis-associated Hallux rigidus.
Clinical signs and symptoms
In its early stages, a person might feel swelling or “a fullness” at the base of the great toe, which can progress to pain in the joint as the toe bends to its upper limit. Pain will be aggravated by ambulation that will advance to a burning sensation or dull ache even at rest. At some point, the selling in the joint will be accompanied by an underlying bony prominence that may be visible through the skin as the joint begins to lose mobility. Eventually, if left untreated, the joint will auto-fuse as it advances from hallux limitus to hallux rigidus.

Why does this happen?
There are several biomechanical causes including: flat feet, a long first metatarsal, an extended great toe or a functionally elevated first ray. A tight Achilles tendon can also contribute to the flattening of your feet, increasing the pressure on the forefoot. This joint destructive process can also be be the outcome of an injury or other inflammatory condition such as gout or rheumatoid arthritis.
What can you do?
The key to treating Hallux limitus is early intervention prior to the destruction of the joint.
1. Over-the-counter arch supports are a good start. Commercially available “rocker bottom” shoes can also help relieve a painful great toe joint when walking, but I would not recommend running in this type of shoe.
2. NSAIDs such as ibuprofen or Naproxen can relieve inflammation but will not treat the cause. Prolonged use can also cause many drug interactions and potential kidney overload, so caution should be taken if needed beyond several days.
What your podiatrist can do:
Hallux limitus is a progressive, destructive process classified into four stages. Treatment depends on the stage of the progression:
Stage 1—Pain at the end range of motion, minimal joint changes, and inflammation in the joint. Treatment would target regaining flexibility in the great toe, the bottom of the foot, and the Achilles tendon. This would be done in conjunction with an evaluation of shoes and treatment of any biomechanical abnormalities (with orthotics if necessary).
Stage 2 –Structural change begins in the joint as it further loses motion. It becomes common for people to walk with their foot pointed outward to compensate for the inability to bend the great toe upward. This may lead to plantar fasciitis or even knee pain. At this point, physical therapy and the possible use of prescription anti-inflammatories and custom orthotics may be necessary to address the biomechanical cause functionally. Surgical intervention may be required to restore motion along with conservative treatment. Such an early surgical intervention may preserve the joint and prevent the need for fusion of the joint later.
Pictured are comparison x‑rays of Hallux Limitus stages 1 – 4, from left to right. Notice the narrowing of the joint and the destruction of the underlying sesamoid bones, which serve as a fulcrum for propulsion.

Stage 3 –The joint has little remaining motion, and there is significant structural loss marked by bony build-up around it. Grinding with any attempted joint motion is common, along with an increase in pain, swelling, and compensatory alterations in gait. Surgical intervention is necessary at this point. Orthotics, physical therapy, and rehabilitation will likely be done after surgery.
Stage 4 (hallux rigidus)–Auto-fusion of the joint has occurred. The joint may not be painful at this point, but the function is completely lost. At this point, an accommodative orthotic may be of benefit, or surgical intervention may be necessary.
Tell me about the surgery.
Several procedures are available depending on the severity of the condition. The ultimate goal is to reduce the pain and allow you to return to normal activity. If surgical intervention is necessary, your recovery will vary depending on the procedure, age, overall health, etc. However, in general, you can expect three to six weeks of non-weight bearing (with crutches or a knee scooter), followed by several weeks of rehabilitation to restore your strength and flexibility.
In my case, I underwent surgery in 1997 in which my bone was decompressed and the joint remodeled. This, combined with orthotics, allowed me to continue running with no recurrence.
May the rest of your year be blessed with good health.
Health Topics:
					






